TMS (transcranial magnetic stimulation) is designed to help people who suffer most from depression to start feeling better again.
of Patients
See Improvement
Million
Treatments Administered
of Patients
Reach Remission
"The staff is very communicative and responsive to questions. Dr. Reinfeld is great, he listens and takes my concerns seriously."
- Freddie
"Samuel Reinfeld has been my doctor for a few months now. And he has been a pleasure to deal with very knowledgeable and kind. Highly recommend using him as your doctor."
- Michael
"I’ve been to practice for two months and so far it has been the best experience with psychiatry. Richard Satriano NP is a very kind and understanding person and truly wants to help you. He’s always on time and gets my prescriptions to the pharmacy asap. Typically with psychiatrist, I’ve experienced have always try to rush Your appointment and get it done with within 10 minutes. Richard Satriano Takes his time and is very Thorough which I appreciate."
- Ryan
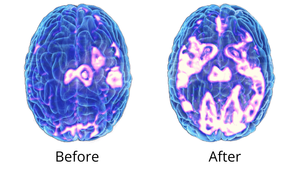
Transcranial Magnetic Stimulation uses strong, magnetic pulses distributed through a coil
to regulate the neural activity of brain structures associated with depression.


No Systemic Side Effects
While you may feel slight pressure on top of your head, most patients adapt to the sensation after just a couple of sessions.

Medication Free
Rest assured, you do not have to start a new medication regimen throughout TMS.

21 Day Difference
An analysis of 1,753 patients showed that the average patient achieved a sustained response after just 16 treatments.

About 83% of patients who complete a full course of TMS show a clinically meaningful response and about 62% experience a remission, meaning their symptoms go away completely.

Sessions are about 20 minutes and you can drive to and from your appointments. The full course covered by insurance usually takes about 6-8 weeks to complete.

All major payers cover TMS treatment for Depression. If you've tried multiple antidepressants and therapy, there's a good chance your insurance covers it.

Schedule
Call the office, fill out a form, or book directly to request a consultation.

Meet
30 Minutes
We'll talk through your medical history and symptoms. You'll receive a personalized treatment plan, with insurance approval before starting.

Map
45 Minutes
During your first session, we determine device position to ensure the most effective treatment for you. This process is known as "mapping".

Treat
20 Minutes
Relax during treatment. After each session, you'll be able to resume your daily routine immediately.
Located in Westbury

